探花av

探花av

| 联系我们 |
探花av动态
   
停诊公告:




您当前位置:探花av > 探花av动态  > 探花av新闻
探花av新闻

奏响超声介入微创医疗新篇章---探花av 超声科对高陵医院技术帮扶

稿件来源:超声科 展小军 杨艳秋     编辑:杨光     上传时间:2018年8月27日
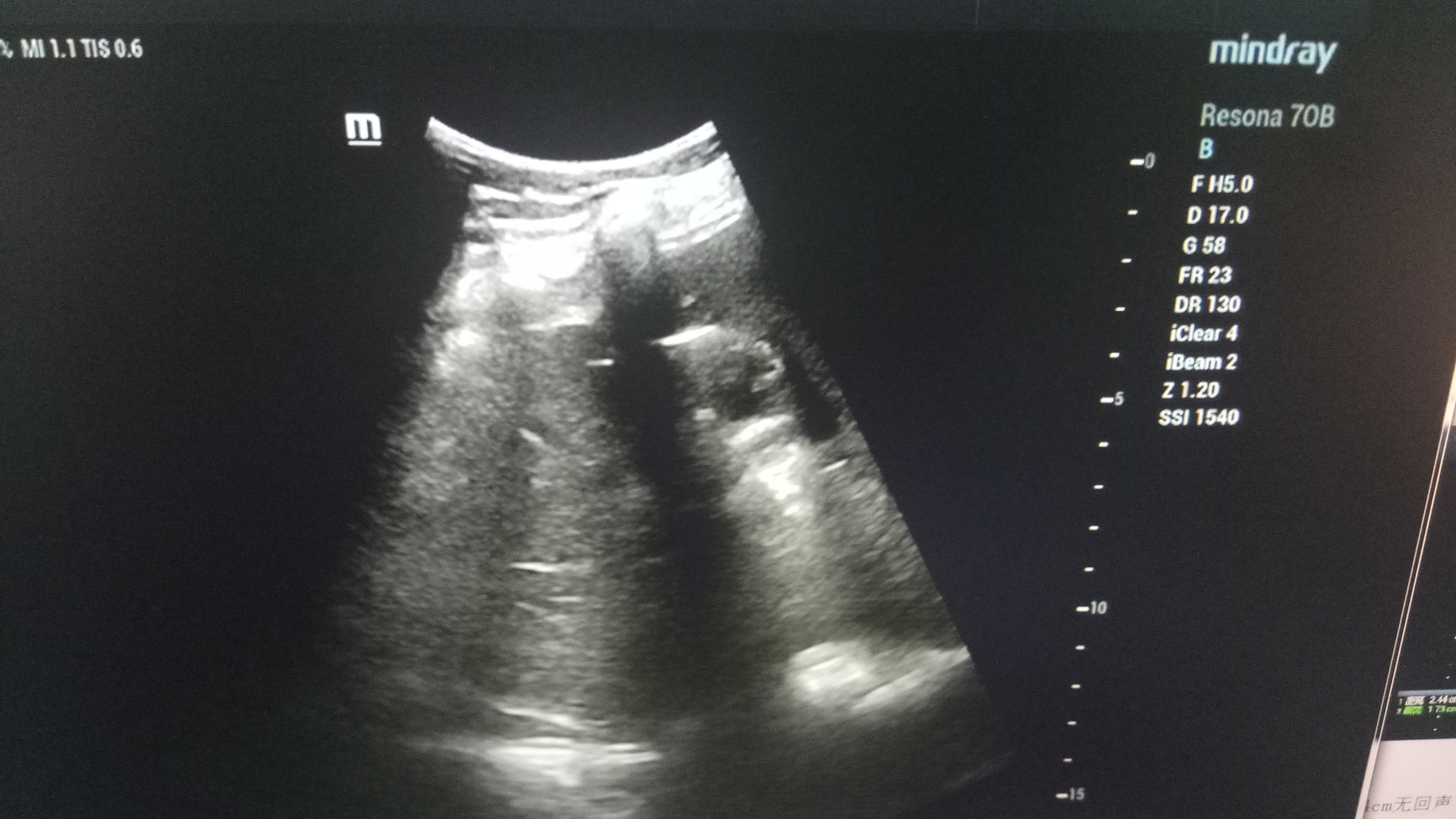
       近日,探花av 超声科在高陵区医院成功开展了一例超声引导下肝囊肿抽吸硬化治疗术。患者前段时间查出肝囊肿,因开腹手术风险性大且痛苦,遂联系了高陵区医院超声科,在探花av 超声科主任展小军与对口支援医生杨艳秋的紧密配合下,短短30分钟,通过一根穿刺针,直径近7cm的肝囊肿就被完全抽吸硬化完毕,患者生命体征平稳,休息几小时后已活动自如。
       超声介入微创诊疗技术是在实时超声的监视和引导下,完成各种穿刺、活检以及抽吸、插管、注药治疗等操作,达到与外科手术相当的效果,具有创伤小、恢复快、无辐射、介入治疗定位精确等优点。可治疗全身各部位囊肿,尤其是巧克力囊肿效果更佳,还有全身各部位肿瘤的活检和治疗,超声引导下微创治疗是未来医学发展方向。
       超声介入微创诊疗技术的开展表明超声科在高陵区医院的帮扶工作取得阶段性成果。自探花av 托管高陵区医院以来,在院领导的大力支持下,科主任展小军每周五赴高陵院区进行帮扶,心血管、浅表器官、肾动脉彩色多普勒等各项超声诊断业务顺利开展,并选派高年资主治医师杨艳秋进行对口支援,超声质量控制管理更加规范有序,超声科的技术水平得到很大提升。